#ΕΓΚΕΦΑΛΙΚΟ
Συναγερμός στο Ηράκλειο, επιβάτης υπέστη εγκεφαλικό μέσα στο αεροπλάνο
Συναγερμός σήμανε το απόγευμα της Δευτέρας στο αεροδρόμιο Νίκος Καζαντζάκης του Ηρακλείου για επιβάτη πτήσης. Πρόκειται για 74χρονο, ο οποίος υπέστη εγκεφαλικό επεισόδιο, ενώ βρισκόταν μέσα στο αεροπλάνο.
Και όμως, εμβόλιο μειώνει τη πιθανότητα εγκεφαλικού
Τα αποτελέσματα μίας μεγάλης πληθυσμιακής μελέτης με στόχο τη διερεύνηση της συσχέτισης μεταξύ εμβολιασμού έναντι του ιού της γρίπης και της εκδήλωσης αγγειακού εγκεφαλικού επεισοδίου (ΑΕΕ) δημοσιεύτηκαν πρόσφατα στο περιοδικό Lancet Public Health (με δείκτη απήχησης 72,4).
Ποιοι 30αρηδες κινδυνεύουν με εγκεφαλικό
Οι 20άρηδες και 30άρηδες που κάνουν μέτρια έως μεγάλη κατανάλωση αλκοόλ αντιμετωπίζουν αυξημένο κίνδυνο να πάθουν εγκεφαλικό, σε σχέση με τους νέους ενήλικες που πίνουν λίγο ή καθόλου, δείχνει μια νέα έρευνα επιστημόνων από τη Νότια Κορέα.
Πώς θα καταλάβετε ότι παθαίνετε εγκεφαλικό: Έτσι μπορείτε να το προλάβετε
Αγγειακό εγκεφαλικό επεισόδιο παθαίνουν κάθε χρόνο 15 εκατομμύρια άτομα παγκοσμίως και τα 6 εκατομμύρια από αυτούς δεν επιζούν, σύμφωνα με την Παγκόσμια Οργάνωση για τα Αγγειακά Εγκεφαλικά Επεισόδια (ΑΕΕ).
Η ρύπανση του αέρα αυξάνει τον κίνδυνο άνοιας και εγκεφαλικού -Τρομάζουν δύο νέες έρευνες
Η συχνή έκθεση στα μικροσκοπικά σωματίδια της ρύπανσης του αέρα, τα οποία προέρχονται κυρίως από την κίνηση των οχημάτων στους δρόμους, συνδέεται πιθανώς με αυξημένη πιθανότητα εμφάνισης άνοιας, δείχνει μια νέα επιστημονική έρευνα.
To 25% των ανθρώπων κινδυνεύουν με εγκεφαλικό -Είναι η νούμερο ένα αιτία αναπηρίας
Ο κίνδυνος του αγγειακού εγκεφαλικού επεισοδίου απειλεί έναν στους τέσσερις ανθρώπους ενώ έχει καταστεί το νούμερο ένα αίτιο αναπηρίας.
Σταύρος Σαράφης: Νοσηλεύεται στην εντατική μετά από εγκεφαλικό
Κρίσιμες ώρες για τον θρύλο του ΠΑΟΚ και της Εθνικής Ελλάδας, Σταύρο Σαράφη, ο οποίος και υπέστη εγκεφαλικό επεισόδιο, με αποτέλεσμα να νοσηλεύεται στην εντατική.
Ρωσία: Μυστήριο με τον θάνατο από «εγκεφαλικό» του αρχισυντάκτη της Pravda - Ήταν «σύμμαχος» του Πούτιν
Από «εγκεφαλικό» κατέληξε ο 68χρονος αρχισυντάκτης της ρωσικής εφημερίδας Pravda, Βλαντίμιρ Νικολάγιεβιτς Σανγκόρκιν, ο οποίος θεωρούνταν σύμμαχος του προέδρου της Ρωσίας, Βλαντίμιρ Πούτιν.
Το απροσδόκητο όφελος μετά το αντιγριπικό εμβόλιο
Το ετήσιο αντιγριπικό εμβόλιο μπορεί να σχετίζεται με μικρότερο κίνδυνο εγκεφαλικού, καταδεικνύει μια νέα επιστημονική μελέτη από την Ισπανία.
Tο αντιγριπικό εμβόλιο μπορεί να μειώσει τον κίνδυνο εγκεφαλικού, σύμφωνα με ισπανική έρευνα
Το ετήσιο αντιγριπικό εμβόλιο μπορεί να σχετίζεται με μικρότερο κίνδυνο εγκεφαλικού, συμπέρανε μια νέα ισπανική επιστημονική μελέτη.
Σοκαριστικό επεισόδιο «on air»: H παρουσιάστρια έπαθε εγκεφαλικό, δεν μπορούσε να αρθρώσει (βίντεο)
Ένα σοκαριστικό περιστατικό έλαβε χώρα live σε δελτίο ειδήσεων στην Οκλαχόμα των ΗΠΑ, όταν παρουσιάστρια υπέστη εγκεφαλικό, με αποτέλεσμα να αρχίσει να χάνει τα λόγια της.
Επεισοδιακή ληστεία στο Ναύπλιο: Συγκλονιστικό βίντεο - Ληστής παθαίνει εγκεφαλικό την ώρα της καταδίωξης
Βίντεο από τη στιγμή που ο ένας ληστής κατέρρευσε στη μέση του δρόμου κατά τη διάρκεια της καταδίωξης στο Ναύπλιο, βλέπουν το φως της δημοσιότητας.
Απίστευτη ληστεία στο Ναύπλιο: Πήγε να τον κλέψει και έπαθε εγκεφαλικό ενώ τον κυνηγούσε στο δρόμο με τα εσώρουχα
Ένα απίστευτο σκηνικό εκτυλίχθηκε νωρίς το πρωί του Σαββάτου σε οικία πρώτου ορόφου στην οδό 25ης Μαρτίου στην Πρόνοια Ναυπλίου.
Έρευνα: Αυτή η ομάδα αίματος έχει μεγαλύτερο κίνδυνο για εγκεφαλικό πριν από τα 60
Νέα αμερικανική έρευνα έρχεται να δείξει ότι δεν έχουν τον ίδιο κίνδυνο για πρώιμο εγκεφαλικό πριν από τα 60 όλες οι ομάδες αίματος.
Δυσάρεστα νέα για όσους δεν κοιμούνται καλά: Κινδυνεύουν περισσότερο για έμφραγμα ή εγκεφαλικό
Όσοι άνθρωποι κοιμούνται καλά, κινδυνεύουν λιγότερο από έμφραγμα ή εγκεφαλικό, δείχνει μια νέα γαλλική επιστημονική έρευνα, που παρουσιάστηκε στο διεθνές συνέδριο της Ευρωπαϊκής Εταιρείας Καρδιολογίας στη Βαρκελώνη.
Κίνδυνος θανάτου από έμφραγμα ή εγκεφαλικό για τους ανθρώπους με μοναξιά
Η κοινωνική απομόνωση και η μοναξιά σχετίζονται με 29% αυξημένο κίνδυνο θανατηφόρου εμφράγματος και 32% αυξημένο κίνδυνο θανατηφόρου εγκεφαλικού, σύμφωνα με Αμερικανούς επιστήμονες.
Νέος τρόπος αντιμετώπισης εγκεφαλικού επεισοδίου, μπαίνοντας στον εγκέφαλο γρήγορα και με ακρίβεια (βίντεο)
Ελβετοί ερευνητές ανέπτυξαν έναν μαγνητικά κατευθυνόμενο καθετήρα για γρήγορη και ασφαλή αντιμετώπιση εγκεφαλικού επεισοδίου που δεν απαιτεί την παρουσία εξειδικευμένων χειρουργών στο χώρο
Παθήσεις στην καρδιά και διαβήτης αυξάνουν τον κίνδυνο για άνοια: Δύο οι πιο επικίνδυνοι συνδυασμοί
Οι ερευνητές του ιατρικού Ινστιτούτου Καρολίνσκα του Πανεπιστημίου της Στοκχόλμης ανέλυσαν στοιχεία για 2.500 υγιείς ανθρώπους, χωρίς άνοια, άνω των 60 ετών, οι οποίοι παρακολουθήθηκαν σε βάθος 12 ετών μέσω ιατρικών εξετάσεων και γνωστικών τεστ.
Δικηγόρος Φιλιππίδη: Δεν αποφυλακίστηκε για λόγους υγείας, αυτός είναι ο πραγματικός λόγος που αφέθηκε ελεύθερος
Ο δικηγόρος του Πέτρου Φιλιππίδη, Μιχάλης Δημητρακόπουλος, μίλησε για την αποφυλάκιση του Πέτρο Φιλιππίδη τονίζοντας πως είχε να κάνει με τη συμπλήρωση του 12μηνου και όχι για λόγους υγείας.
Πέτρος Φιλιππίδης: Η αντίδραση του όταν έμαθε οτι αποφυλακίζεται
Ο δικηγόρος του Πέτρου Φιλιππίδη, Μιχάλης Δημητρακόπουλος, επισκέφθηκε τον ηθοποιό στο νοσοκομείο και τον ενημέρωσε για την αποφυλάκιση τους ενώ εκείνος ξέσπασε σε κλάματα με λυγμούς.
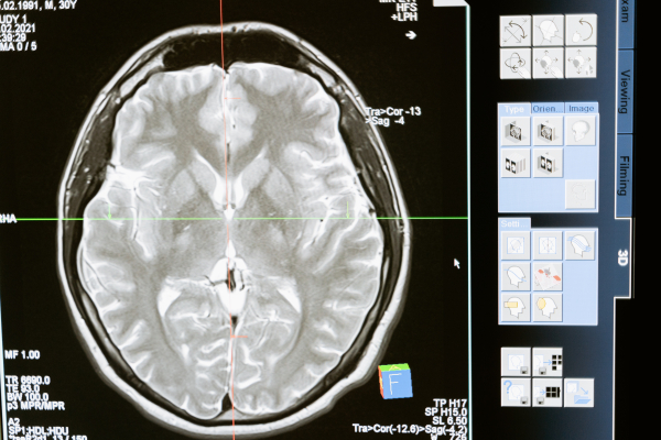
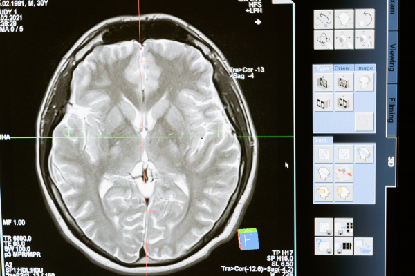
Πέτρος Φιλιππίδης: Δεν επιβεβαιώνουν οι γιατροί τις αναφορές Δημητρακόπουλου, ελαφρύ το εγκεφαλικό
Ένα εγκεφαλικό θα μπορούσε να αποβεί μοιράιο για τον Πέτρο Φιλιππίδη, ανέφερε νωρίτερα ο Μιχάλης Δημητρακόπουλος, με τους γιατρούς ωστόσο να διαψεύδουν την κρισιμότητα της κατάστασης.
Δημητρακόπουλος για κατάσταση Φιλιππίδη: Αν αιμορραγήσει το αγγείο στο κεφάλι μπορεί να πεθάνει (βίντεο)
«Το εγκεφαλικό είναι έμφρακτο, αν αιμορραγήσει το αγγείο στο κεφάλι τότε μπορεί να πεθάνει» ανέφερε ο δικηγόρος του Πέτρου Φιλιππίδη για την κατάσταση της υγείας του εντολέα του.
Αυξημένος ο κίνδυνος θανατηφόρου εγκεφαλικού λόγω της ρύπανσης του αέρα, τι δείχνει νέα μελέτη
Αυξημένος είναι ο κίνδυνος θανατηφόρου εγκεφαλικού λόγω της ρύπανσης του αέρα, ιδίως με μικροσκοπικά σωματίδια, σύμφωνα με κινεζική μελέτη.
Καβάλα: «Δολοφόνησε τη γυναίκα του και 4 ώρες μετά κάλεσε γιατρό γιατί είχε ανεβάσει πίεση και φοβόταν για εγκεφαλικό» (βίντεο)
Δύο τηλεφωνήματα του 55χρονου για να λάβει ο ίδιος ιατρικές συμβουλές διότι φέρεται να είχε ανεβάσει πίεση, τέσσερις ώρες μετά το θάνατο της φαρμακοποιού στην Καβάλα, αποκαλύπτει ο δικηγόρος των συγγενών της άτυχης γυναίκας.
Το μικροβίωμα του εντέρου σημαντικός παράγοντας κινδύνου για εγκεφαλικό
Μια νέα μελέτη εντόπισε βακτηριακά στελέχη της μικροχλωρίδας του εντέρου που σχετίζονται με σοβαρά εγκεφαλικά επεισόδια και με δυσκολότερη ανάκαμψη μετά από αυτά.
ΗΠΑ: Νευροχειρουργοί θεραπεύουν εξ αποστάσεως ασθενείς με εγκεφαλικό ή ανεύρυσμα
Ερευνητές του Πανεπιστημίου ΜΙΤ των ΗΠΑ ανέπτυξαν ένα τηλερομποτικό σύστημα, το οποίο βοηθά τους νευροχειρουργούς να θεραπεύουν εξ αποστάσεως ασθενείς που έχουν πάθει εγκεφαλικό επεισόδιο ή ανεύρυσμα.
Ευχάριστη είδηση: Νέο τεστ αίματος προβλέπει έμφραγμα, εγκεφαλικό μέσα στα επόμενα 4 χρόνια
Επιστήμονες στις ΗΠΑ ανακοίνωσαν ότι ανέπτυξαν ένα νέο τεστ αίματος που μπορεί να προβλέψει αν κάποιος αντιμετωπίζει υψηλό κίνδυνο για έμφραγμα, εγκεφαλικό, καρδιακή ανεπάρκεια ή θάνατο από τα παραπάνω μέσα στα επόμενα τέσσερα χρόνια.
Ερευνα: Μεγαλύτερος ο κίνδυνος εγκεφαλικού για όσους παίρνουν αντιεμετικά και αντιψυχωσικά φάρμακα
Μια κατηγορία ευρέως χρησιμοποιούμενων φαρμάκων κατά της ναυτίας και του εμετού συνδέεται με αυξημένο κίνδυνο ισχαιμικού εγκεφαλικού, σύμφωνα με μελέτη Γάλλων επιστημόνων.
Αυξημένος ο κίνδυνος εμφράγματος ή εγκεφαλικού σε όσους η πίεση ανεβαίνει όταν είναι όρθιοι
Αν η αρτηριακή πίεση ενός ανθρώπου αυξάνει όταν στέκεται όρθιος τότε μπορεί να αντιμετωπίζει αυξημένο κίνδυνο για έμφραγμα ή εγκεφαλικό, σύμφωνα με Ιταλούς επιστήμονες.
Πότε αυξάνει τον κίνδυνο εγκεφαλικού ο κορονοϊός
Ο κίνδυνος για αγγειακό εγκεφαλικό επεισόδιο σε ασθενείς με COVID-19 φαίνεται να είναι σημαντικά αυξημένος τις 3 πρώτες ημέρες μετά τη μόλυνση
Κορονοϊός: Μεγαλύτερος ο κίνδυνος εγκεφαλικού τις πρώτες τρεις ημέρες μετά τη διάγνωση
Ο κίνδυνος εγκεφαλικού είναι μεγαλύτερος τις πρώτες τρεις ημέρες μετά τη διάγνωση κορονοϊού στους ηλικιωμένους, σύμφωνα με αμερικανική έρευνα.






























